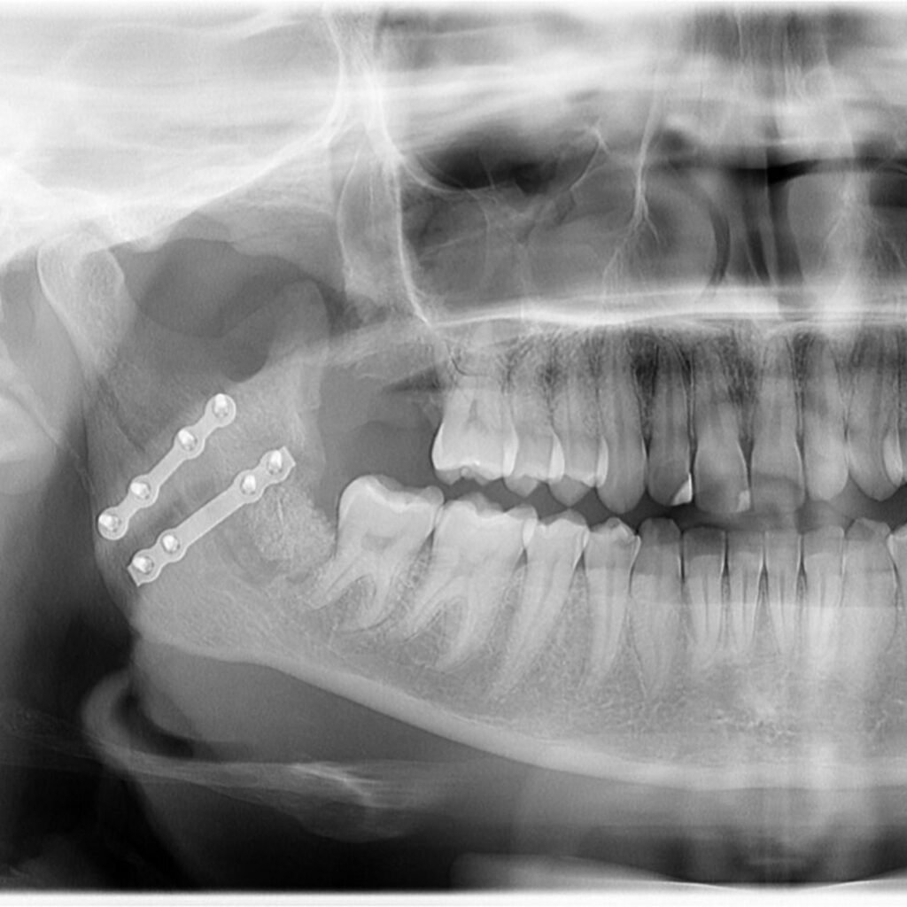
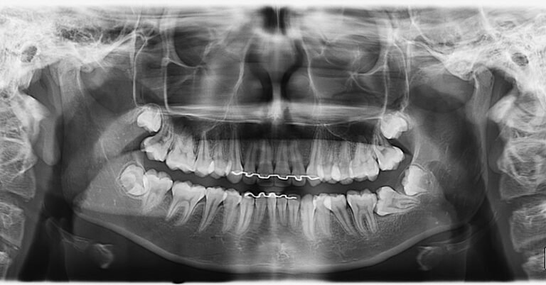
A Patologia Oral e Maxilofacial é a especialidade responsável pelo diagnóstico e tratamento de doenças que afetam a boca, mandíbula e estruturas faciais. Atua na identificação de lesões, cistos e tumores, garantindo diagnóstico preciso e tratamento adequado para preservar a saúde bucal e geral do paciente.









